全国第二例!厦大附属心血管病医院王焱院长团队完成经皮途径三尖瓣生物瓣毁损后瓣中瓣植入

近日,厦门大学附属心血管病王焱院长团队在完成全国首例“同台双瓣置换”微创手术后,在瓣中瓣微创治疗领域再获突破,开展全国第2例经皮途径外科生物瓣毁损后三尖瓣”瓣中瓣”植入。至此,王焱院长团队已成功开展多例主动脉瓣、二尖瓣、三尖瓣瓣中瓣微创手术,在心脏瓣膜病的微创治疗领域积累了丰富全面的手术经验,几乎涉足所有心脏瓣膜的导管治疗,标志着主播福利 介入瓣膜治疗技术与国际并轨,达到国际一流水平。
术前分析
患者为60岁老年女性,18年前因心脏瓣膜病行三尖瓣生物瓣和二尖瓣机械瓣瓣膜置换术,术后恢复顺利;至2年前再次出现无明显诱因的活动后气促等症状,超声结果显示,三尖瓣生物瓣再狭窄,瓣叶增厚,部分交界粘连,开放受限但闭合尚可;二尖瓣机械瓣功能正常,主动脉瓣轻度狭窄伴轻度反流。LVEF为67%,心功能良好,三尖瓣生物瓣平均跨瓣压差10 mmHg。双房明显扩大,肺动脉和冠状静脉窦增宽,右室收缩功能减低。
患者18年前外科手术置换的三尖瓣生物瓣为国产普惠牛心包29#瓣膜,术前CT结果显示,患者三尖瓣生物瓣梗阻,有两片瓣叶几乎不能活动,左右心房扩大,右室与右房几乎平行,且右室非常小。因此为保证手术安全,减少导丝在右室造成的风险,改用肺动脉路径置入支撑导丝换瓣。三尖瓣生物瓣瓣环面积为509.2mm2,平均内径为25.5mm,选用29mm爱德华SAPIEN 3 瓣膜并加1ml体积容量尽量扩张瓣膜至喇叭状,能最大程度减少术后压差,提高患者生存质量。



术前CT分析
团队评估
入院后评估美国胸外科医师协会(STS)评分6.2%,考虑到患者高龄,已行开胸手术,身体虚弱,外科手术风险较高,而介入治疗可更快恢复,减少住院时间,经心脏团队讨论,并与家属协商后,计划行经导管三尖瓣瓣中瓣置换术。团队认为目前国际上使用三尖瓣介入瓣中瓣(VinV)最多的器械是Edwards SAPIEN系列瓣膜,经过术前充分的超声及心脏CTA的评估是最适合该患者治疗的方案,和家属沟通后,王焱院长团队决定为患者进行Edwards SAPIEN 3介入微创瓣膜置换,采用的方案是股静脉途径,为患者进行三尖瓣瓣中瓣植入。
手术计划
1. 患者衰败的三尖瓣生物瓣为国产普惠牛心包29#瓣膜,考虑手术的安全性和有效性,选用目前国际上唯一批准用于瓣中瓣的瓣膜爱德华的SAPIEN 3是最好的选择,此款瓣膜在国外有大量用于各类型瓣中瓣的经验和尺寸选择推荐,能在术前就将手术方案进行详尽的模拟分析,避免术中发生的各类风险。
2. 考虑到患者自身衰败的生物瓣有两片瓣叶几乎无法活动,且为18年前植入的国产瓣膜,无法获悉瓣膜的详细工业生产尺寸,若直接按照推荐尺寸选择29mm爱德华SAPIEN 3瓣膜可能存在跨瓣困难,且有无法顺利跨瓣风险,因此,计划术中在导丝成功跨瓣后进行预扩张,一方面进一步精准评估瓣环大小,为瓣膜尺寸选择提供参考,另一方面,将重度梗阻衰败的瓣叶扩开,便于后续的瓣膜跨瓣及释放操作。
3. 由于患者存在一定程度的心脏解剖变异,右房扩大,右心室相对较小,右房与右室几乎平行,容易造成导丝跨瓣后顶住较薄的心室壁,在右室造成对心室壁的损伤甚至穿孔风险。所以,计划更换另一安全的解剖结构,使支撑导丝塑形后放入肺动脉支撑,既可得到稳定可靠的支撑,又极大减少心室穿孔风险,并且术前模拟释放途径也简单可行。
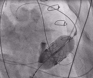
手术过程
1.术中经股静脉入路,送入指引导管、导丝,成功跨瓣,建立导丝轨道。

2.进行预扩张。球囊打开时未见明显腰征,预扩张球囊顺利打开梗阻瓣膜。

3.经股静脉入路送入16F E-sheath可扩张导管鞘,随后送入SAPIEN 3球扩瓣1输送系统,由于肺动脉入路朝上走,无需调弯,顺利跨瓣,将SAPIEN 3球扩瓣送入预定位置。精准定位后,以160次/分快速起搏,并保证1:1完全夺获,缓慢释放瓣膜。术后超声检查结果显示即刻跨瓣压差从术前9mmHg降至3mmHg,顺利完成瓣膜释放,回撤导管、导丝。

术后随访
术后即刻在杂交手术室拔除气管插管,无气促不适,第二天下床活动,临床症状明显改善。术后一周内康复出院。
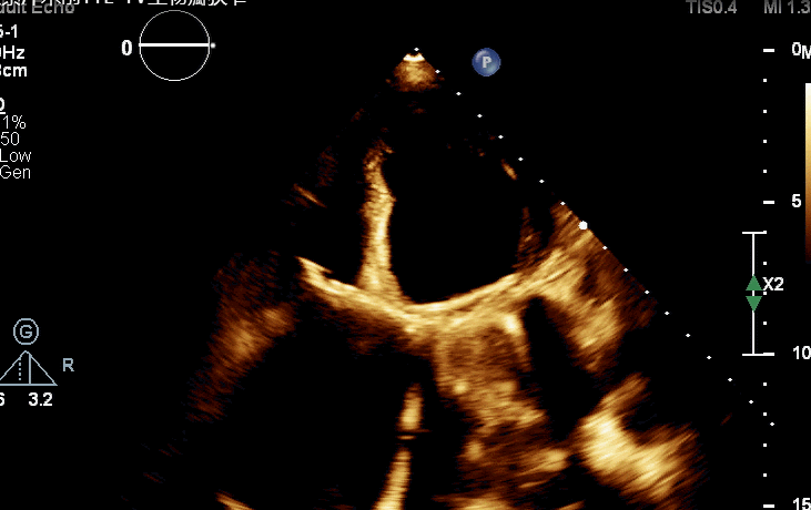
食道超声评估

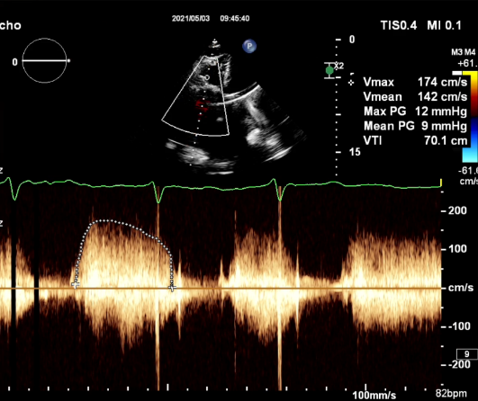
三尖瓣术前平均压差9mmHg

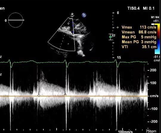
三尖瓣瓣中瓣术后平均压差3mmHg


术前TTE-TV生物瓣狭窄

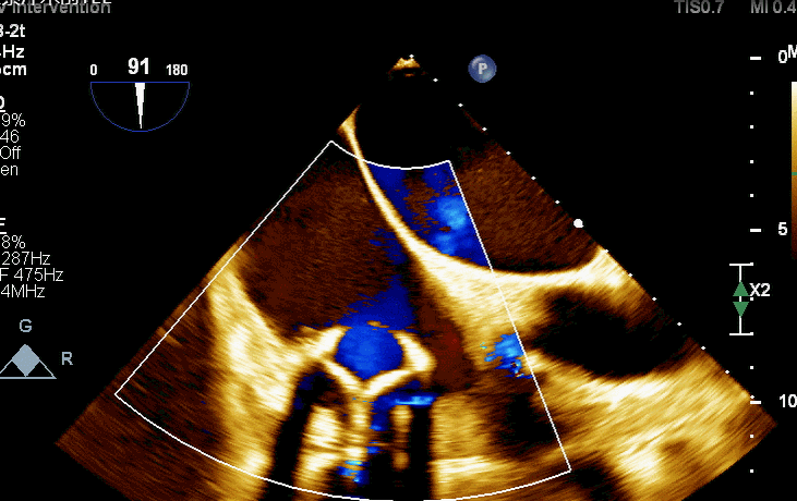
术后TV生物瓣活动良好

术后三维超声同时显示MV机械瓣及新的TV生物瓣
