福建日报 | 心脏长反还乱跳 厦心微创脉冲技术为罕见“右心人”精准消融
心脏长在了右边,就连五脏六腑的位置也和普通人完全相反,日前,主播福利 (简称“厦心”)收治了一名极为罕见的右位心房颤患者,该院电生理团队应用国际先进的脉冲消融技术,以一次“反”常的手术,让患者恢复“正”好的心跳!
“镜面人”脏器全长反 操作都得反着来
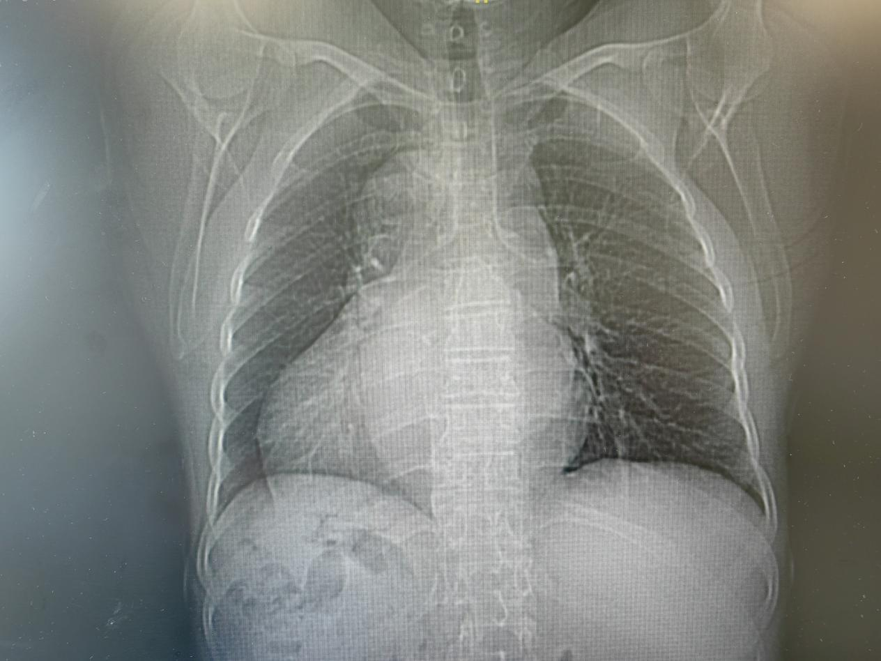
近一个月来,62岁的蔡女士时常觉得胸闷、心悸,特别是活动后喘得厉害,到厦心检查后,被确诊为房颤。而更让人惊讶的是,与正常人心脏位置偏左,心尖部在胸腔左侧相反,蔡女士的心脏却罕见的长在了右胸,就像镜中倒影,一切都与常人相反。

患者的心脏罕见的长在了胸腔右侧
心脏位置“反着长”,意味着手术操作与常规完全相反。“就像习惯用右手写字的人突然要改用左手,不仅操作方向要镜像反转,所有导管、器械的使用也都需逆向思维,对术者技术要求极高,”厦心心内四科副主任李强主任医师介绍,作为中国房颤中心之一,厦心电生理团队有着丰富的复杂心律失常诊疗经验,经术前周密评估与计划,团队决定用新型的房颤介入治疗技术——脉冲电场消融术,来纠正这颗乱跳的心脏。
据悉,脉冲电场消融(PFA)是一种新的消融技术,该技术通过消融导管释放高电压脉冲电场,能够瞬时精准作用于异常心肌细胞,选择性地破坏心脏内异常电信号传导路径,从而恢复正常心律,终止心律失常的发生。
新型脉冲技术精准消融 手术更快更好
经过充分筹备,李强主任率团队术中应用了先进的三维电生理标测系统,利用三维标测构建出“镜像心脏模型”,精准锁定房颤病灶。随后,凭借脉冲消融系统,在不到一小时内顺利完成消融。术后蔡女士症状明显缓解,恢复良好,这颗特殊的心脏也恢复了正常的节奏。
相关数据显示,房颤是临床上最常见的心律失常之一,目前我国约有1200万房颤患者。传统的房颤治疗方式有药物治疗、射频消融治疗、冷冻消融治疗和外科迷宫手术,核心都是通过手术隔绝导致心脏房颤的信号源。而脉冲电场消融作为新兴技术,正逐步成为房颤微创治疗的新标杆,让患者有了新的治疗选择。
区别于传统的射频消融或冷冻消融技术,脉冲电场消融技术最关键之处就是能在极短的时间内(毫秒级别),精准打击目标心脏病灶,不会“烫伤”周围细胞,也不会影响周围“无辜”组织,比如食管、膈神经等,因此手术时长更短,损伤、副作用更小。李强表示,“该技术不仅比传统的房颤射频消融手术缩短近一半的时长,还降低了医生的学习曲线,使得操作更为流畅。患者的手术体验和术后生活质量也更好。”
